
4~6개월 이상 지속된 만성 테니스엘보우(외측상과염)로 고생하던 환자분이
강동구 길동 리드힐 통증의학과에서 콜라겐 재생주사 치료를 통해 통증 완화와 조직 회복을 경험했습니다.
타원에서 여러가지 치료에도 재발되던 팔꿈치 통증,
콜라겐 재생치료로 호전된 실제 사례를 확인하세요.
👩⚕️ 리드힐 박찬도 원장님 치료사례
오늘은 우측 팔꿈치 만성 테니스엘보우(외측상과염)로 리드힐에 내원하신 환자분을 소개해드립니다.
이 환자분은 약 4~6개월 전부터 팔꿈치 외측 통증이 시작되어 여러 병원에서 주사치료, 체외충격파 등을 받았지만,
잠시 호전 후 재발을 반복하며 뚜렷한 개선을 보지 못한 상태로 내원하셨습니다.
💬 주요 증상
🔹 팔꿈치 외측부터 전완부로 뻗치는 통증
🔹 물건을 들 때 시큰거림 및 야간 통증
🔹 물건을 떨어뜨릴 정도의 순간적인 힘 빠짐
💡 만성 테니스엘보우는 단순한 근육통이 아닌, 힘줄 미세손상으로 인한 구조적 문제이기 때문에
단기 주사나 물리치료로는 호전이 어렵습니다.





정상적으로는 회색의 균일한 섬유들이 뼈에 부착되는 부위까지 잘 보여야 하는데,
노란색 화살표로 표시된 부위를 보면 검은색(hypo-echoid lesion)으로 변해있음.
힘줄이 약해지고 손상이 된 부위로 부분적인 섬유파열이 동반됨.
🔹 결론:
구조적 손상이 뚜렷하게 확인되어, 단순 염증치료보다는 조직 재생 중심의 치료가 필요했습니다.
💉 콜라겐 재생주사 치료 진행
리드힐 박찬도 원장님은 손상된 힘줄 부위의 섬유 재생을 돕기 위해
콜라겐(Collagen) 재생치료를 시행하였습니다.
✅ 치료 프로토콜



🔍 3개월 후 초음파 결과
재생치료를 마친 후 3개월 시점에서 재검사한 초음파에서는
초기 검은색(손상 부위) 으로 보이던 부위가 정상 회색 섬유조직으로 복원된 모습이 확인됩니다.
💡 POINT:
꾸준한 치료와 적절한 간격의 시술로 힘줄의 구조적 회복이 가능함을 보여주는 좋은 예입니다.
🧩 치료 후 경과
🧠 콜라겐 재생치료, 언제 필요할까?
콜라겐 주사요법은 힘줄의 만성 손상이나 재발성 통증에 특히 효과적입니다.
단순한 염증 단계나 초기 통증의 경우에는 무리한 재생치료가 필요하지 않지만,
🔹 반복되는 통증
🔹 주사·물리치료에도 호전이 없는 경우
🔹 손상 부위가 초음파로 확인된 경우
이 세 가지 조건에 해당한다면 콜라겐 재생주사치료를 고려해볼 가치가 충분합니다.
🏥 리드힐의 진료 철학
리드힐통증의학과 정형외과는 테니스엘보우를 단순한 염증 질환이 아닌,
“힘줄의 미세 손상과 구조적 퇴행” 으로 접근하여
재발을 줄이고 근본적인 회복을 돕는 정확한 진단 기반 치료를 지향합니다.
💡 요약 정리:
🩺 마무리
여러 치료에도 낫지 않고 반복되는 만성 테니스엘보우 통증으로 고민 중이시라면,
콜라겐 재생주사치료가 분명한 대안이 될 수 있습니다.
리드힐은 정확한 진단과 단계별 치료로 환자분의 통증 없는 일상 복귀를 돕고 있습니다.
언제든 자세하고 명확한 진료를 통해 맞춤 치료 방향을 안내해드리겠습니다.
테니스엘보우,테니스엘보,외측상과염, 팔꿈치 통증, 콜라겐 주사, 콜라겐 재생치료, 힘줄 손상, 재발성 팔꿈치 통증, 재생주사치료
4~6개월 이상 지속된 만성 테니스엘보우(외측상과염)로 고생하던 환자분이
강동구 길동 리드힐 통증의학과에서 콜라겐 재생주사 치료를 통해 통증 완화와 조직 회복을 경험했습니다.
타원에서 여러가지 치료에도 재발되던 팔꿈치 통증,
콜라겐 재생치료로 호전된 실제 사례를 확인하세요.
👩⚕️ 리드힐 박찬도 원장님 치료사례
오늘은 우측 팔꿈치 만성 테니스엘보우(외측상과염)로 리드힐에 내원하신 환자분을 소개해드립니다.
이 환자분은 약 4~6개월 전부터 팔꿈치 외측 통증이 시작되어 여러 병원에서 주사치료, 체외충격파 등을 받았지만,
잠시 호전 후 재발을 반복하며 뚜렷한 개선을 보지 못한 상태로 내원하셨습니다.
💬 주요 증상
🔹 팔꿈치 외측부터 전완부로 뻗치는 통증
🔹 물건을 들 때 시큰거림 및 야간 통증
🔹 물건을 떨어뜨릴 정도의 순간적인 힘 빠짐
💡 만성 테니스엘보우는 단순한 근육통이 아닌, 힘줄 미세손상으로 인한 구조적 문제이기 때문에
단기 주사나 물리치료로는 호전이 어렵습니다.
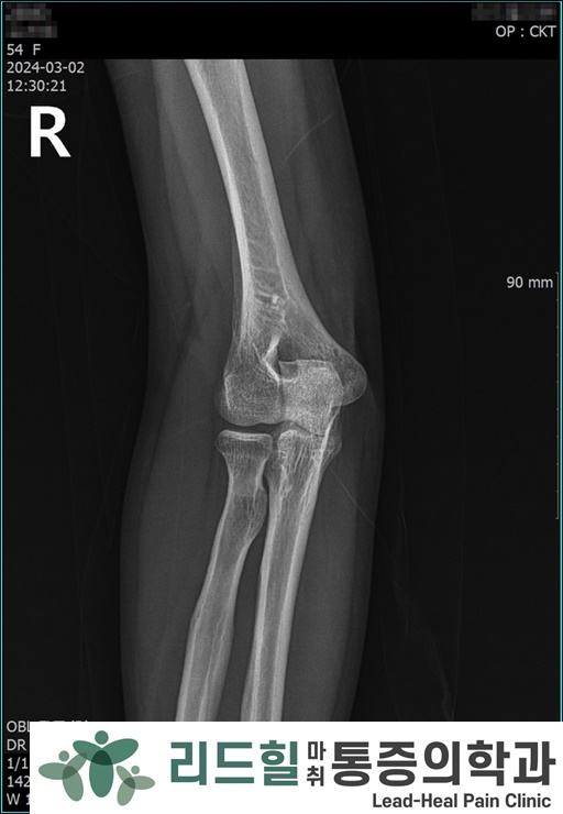
X-ray 검사 결과 : 석회화나 골극, 관절증 등의 이상 소견 없음
초음파(USG) 검사:
힘줄 부착 부위에서 부분적인 섬유 파열과 저에코(hypo-echoic) 병변 확인
정상적으로는 회색의 균일한 섬유들이 뼈에 부착되는 부위까지 잘 보여야 하는데,
노란색 화살표로 표시된 부위를 보면 검은색(hypo-echoid lesion)으로 변해있음.
힘줄이 약해지고 손상이 된 부위로 부분적인 섬유파열이 동반됨.
🔹 결론:
구조적 손상이 뚜렷하게 확인되어, 단순 염증치료보다는 조직 재생 중심의 치료가 필요했습니다.
💉 콜라겐 재생주사 치료 진행
리드힐 박찬도 원장님은 손상된 힘줄 부위의 섬유 재생을 돕기 위해
콜라겐(Collagen) 재생치료를 시행하였습니다.
✅ 치료 프로토콜
총 5회 시술
1주 간격으로 3회
이후 1개월 간격으로 2회
치료 종료 후 3개월 간 회복기간을 두고 초음파 재검사로 조직 회복 확인
🔍 3개월 후 초음파 결과
재생치료를 마친 후 3개월 시점에서 재검사한 초음파에서는
초기 검은색(손상 부위) 으로 보이던 부위가 정상 회색 섬유조직으로 복원된 모습이 확인됩니다.
💡 POINT:
꾸준한 치료와 적절한 간격의 시술로 힘줄의 구조적 회복이 가능함을 보여주는 좋은 예입니다.
🧩 치료 후 경과
환자분은 5회 치료 후 통증이 거의 소실
물건을 들어도 힘 빠짐 현상 없이 일상생활 가능
필요 시 일부 환자에서는 3회 추가 부스터 시술 시행
🧠 콜라겐 재생치료, 언제 필요할까?
콜라겐 주사요법은 힘줄의 만성 손상이나 재발성 통증에 특히 효과적입니다.
단순한 염증 단계나 초기 통증의 경우에는 무리한 재생치료가 필요하지 않지만,
🔹 반복되는 통증
🔹 주사·물리치료에도 호전이 없는 경우
🔹 손상 부위가 초음파로 확인된 경우
이 세 가지 조건에 해당한다면 콜라겐 재생주사치료를 고려해볼 가치가 충분합니다.
🏥 리드힐의 진료 철학
리드힐통증의학과 정형외과는 테니스엘보우를 단순한 염증 질환이 아닌,
“힘줄의 미세 손상과 구조적 퇴행” 으로 접근하여
재발을 줄이고 근본적인 회복을 돕는 정확한 진단 기반 치료를 지향합니다.
💡 요약 정리:
테니스엘보우는 반복 재발이 잦은 질환
초음파 기반 정확한 진단 중요
콜라겐 재생치료는 만성·재발성 환자에게 특히 효과적
🩺 마무리
여러 치료에도 낫지 않고 반복되는 만성 테니스엘보우 통증으로 고민 중이시라면,
콜라겐 재생주사치료가 분명한 대안이 될 수 있습니다.
리드힐은 정확한 진단과 단계별 치료로 환자분의 통증 없는 일상 복귀를 돕고 있습니다.
언제든 자세하고 명확한 진료를 통해 맞춤 치료 방향을 안내해드리겠습니다.
테니스엘보우,테니스엘보,외측상과염, 팔꿈치 통증, 콜라겐 주사, 콜라겐 재생치료, 힘줄 손상, 재발성 팔꿈치 통증, 재생주사치료