
📌 어깨 회전근개 석회제거, 꼭 다 없애야 할까요?
강동구 길동 리드힐 통증의학과 정형외과 박찬도 원장님이 직접 설명하는
‘mass effect’의 의미와
남은 석회가 자연 흡수되는 이유.
어깨 석회제거, 꼭 다 없애야 할까요?
안녕하세요.
리드힐 통증의학과입니다 😊
오늘은 많은 환자분들이 궁금해하시는 주제예요.
“어깨 석회, 끝까지 다 없애야 하나요?”
결론부터 말씀드리면, 모두 제거할 필요는 없습니다.
📍 석회는 모두 다릅니다
석회는 위치·모양·개수·단단함에 따라 달라집니다.
둥근 석회인지, 선형인지.
하나인지, 여러 개인지.
단단한지, 무른지.
이 특성에 따라 시술 계획이 달라집니다.
보통은 1주 간격으로 2~3회 정도 반복 시술합니다.
매 시술마다 X-ray로 남은 석회량을 확인하며 치료를 조정합니다.
(단, 급성 석회는 한 번의 흡인 시술로 끝나는 경우도 있습니다.)
📍 석회를 전부 제거하지 않아도 됩니다
시술 후 약간의 석회가 남는 건 흔한 일입니다.
그렇다고 무조건 다 없앨 필요는 없습니다.
석회가 주변 조직을 누르며 자극할 때 통증이 생깁니다.
이걸 덩어리 효과(mass effect) 라고 부릅니다.
즉, mass effect가 사라지면 치료는 충분합니다.
X-ray에 조금 남아 있어도 괜찮습니다.
📍 mass effect 판단은 경험의 영역입니다
시술 중 바늘 끝 감각으로 석회의 상태를 느낍니다.
단단한지, 부드러운지, 얼마나 남았는지.
이 감각을 통해 mass effect가 남았는지 여부를 판단합니다.
따라서 경험이 많은 의사의 섬세한 손끝이 중요합니다.
리드힐 통증의학과는 수많은 시술 경험을 바탕으로
석회의 상태를 정확히 구분하고 있습니다.
📍 남은 석회는 자연적으로 흡수됩니다
mass effect가 사라진 석회는 이미 부서진 상태입니다.
그 안의 작은 구멍(hole)을 통해
우리 몸의 면역세포가 침투합니다.
시간이 지나며 잔여 석회는 자연 흡수됩니다.
즉, 추가 시술 없이도 서서히 사라집니다.
📍 실제 환자 사례
42세 여성 환자분.
양쪽 어깨 통증으로 내원.
기존에 여러 병원에서 주사·체외충격파·도수치료를 받았지만
석회가 남아 있던 상태였습니다.


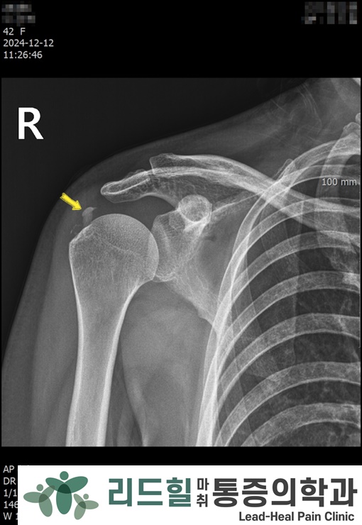
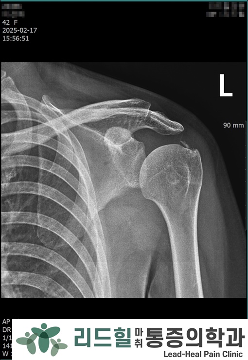
📸 첫 내원 X-ray
좌측어깨처럼 여러 덩어리가 있으면 시술이 조금 더 까다롭습니다.
리드힐에서는 1주 간격으로 3회 석회제거 시술을 진행했습니다.


📸 3차 시술 후 X-ray
석회 크기는 줄었지만, 일부 잔존 석회가 보였습니다.
그러나 mass effect는 완전히 사라진 상태였습니다.
그래서 추가 시술 없이
체외충격파치료와 스트레칭 위주로 관리했습니다.


📸 6개월 후 X-ray
잔여 석회 거의 소실.
어깨 통증 완전 호전.
치료 종료.
📍 결론
✔️ 석회는 X-ray상 안 보일 때까지 제거할 필요 없습니다.
✔️ mass effect가 사라질 정도까지만 제거해도 충분합니다.
✔️ 남은 석회는 자연 흡수 과정을 거쳐 서서히 사라집니다.
✔️ 이후엔 체외충격파·스트레칭·운동요법으로 회복을 돕습니다.
리드힐 통증의학과는 단순한 제거가 아닌,
정확한 원인 진단과 회복 중심 치료를 목표로 합니다.
박찬도 원장님의 세밀한 시술 감각과
풍부한 임상 경험으로 많은 환자분들이
다시 편안한 어깨를 되찾고 있습니다 💪
#어깨석회 #회전근개석회 #석회제거시술 #massEffect #체외충격파치료
#어깨통증 #석회흡인 #정형외과 #석회치료 #강동구정형외과 #강동구통증의학과 #박찬도원장
📌 어깨 회전근개 석회제거, 꼭 다 없애야 할까요?
강동구 길동 리드힐 통증의학과 정형외과 박찬도 원장님이 직접 설명하는
‘mass effect’의 의미와
남은 석회가 자연 흡수되는 이유.
안녕하세요.
리드힐 통증의학과입니다 😊
오늘은 많은 환자분들이 궁금해하시는 주제예요.
“어깨 석회, 끝까지 다 없애야 하나요?”
결론부터 말씀드리면, 모두 제거할 필요는 없습니다.
📍 석회는 모두 다릅니다
석회는 위치·모양·개수·단단함에 따라 달라집니다.
둥근 석회인지, 선형인지.
하나인지, 여러 개인지.
단단한지, 무른지.
이 특성에 따라 시술 계획이 달라집니다.
보통은 1주 간격으로 2~3회 정도 반복 시술합니다.
매 시술마다 X-ray로 남은 석회량을 확인하며 치료를 조정합니다.
(단, 급성 석회는 한 번의 흡인 시술로 끝나는 경우도 있습니다.)
📍 석회를 전부 제거하지 않아도 됩니다
시술 후 약간의 석회가 남는 건 흔한 일입니다.
그렇다고 무조건 다 없앨 필요는 없습니다.
석회가 주변 조직을 누르며 자극할 때 통증이 생깁니다.
이걸 덩어리 효과(mass effect) 라고 부릅니다.
즉, mass effect가 사라지면 치료는 충분합니다.
X-ray에 조금 남아 있어도 괜찮습니다.
📍 mass effect 판단은 경험의 영역입니다
시술 중 바늘 끝 감각으로 석회의 상태를 느낍니다.
단단한지, 부드러운지, 얼마나 남았는지.
이 감각을 통해 mass effect가 남았는지 여부를 판단합니다.
따라서 경험이 많은 의사의 섬세한 손끝이 중요합니다.
리드힐 통증의학과는 수많은 시술 경험을 바탕으로
석회의 상태를 정확히 구분하고 있습니다.
📍 남은 석회는 자연적으로 흡수됩니다
mass effect가 사라진 석회는 이미 부서진 상태입니다.
그 안의 작은 구멍(hole)을 통해
우리 몸의 면역세포가 침투합니다.
시간이 지나며 잔여 석회는 자연 흡수됩니다.
즉, 추가 시술 없이도 서서히 사라집니다.
📍 실제 환자 사례
42세 여성 환자분.
양쪽 어깨 통증으로 내원.
기존에 여러 병원에서 주사·체외충격파·도수치료를 받았지만
석회가 남아 있던 상태였습니다.
📸 첫 내원 X-ray
우측어깨 (첫번째사진) : 큰 단일 석회
좌측어깨 (두번째사진) : 작은 석회 여러 개
좌측어깨처럼 여러 덩어리가 있으면 시술이 조금 더 까다롭습니다.
리드힐에서는 1주 간격으로 3회 석회제거 시술을 진행했습니다.
📸 3차 시술 후 X-ray
석회 크기는 줄었지만, 일부 잔존 석회가 보였습니다.
그러나 mass effect는 완전히 사라진 상태였습니다.
그래서 추가 시술 없이
체외충격파치료와 스트레칭 위주로 관리했습니다.
📸 6개월 후 X-ray
잔여 석회 거의 소실.
어깨 통증 완전 호전.
치료 종료.
📍 결론
✔️ 석회는 X-ray상 안 보일 때까지 제거할 필요 없습니다.
✔️ mass effect가 사라질 정도까지만 제거해도 충분합니다.
✔️ 남은 석회는 자연 흡수 과정을 거쳐 서서히 사라집니다.
✔️ 이후엔 체외충격파·스트레칭·운동요법으로 회복을 돕습니다.
리드힐 통증의학과는 단순한 제거가 아닌,
정확한 원인 진단과 회복 중심 치료를 목표로 합니다.
박찬도 원장님의 세밀한 시술 감각과
풍부한 임상 경험으로 많은 환자분들이
다시 편안한 어깨를 되찾고 있습니다 💪
#어깨석회 #회전근개석회 #석회제거시술 #massEffect #체외충격파치료
#어깨통증 #석회흡인 #정형외과 #석회치료 #강동구정형외과 #강동구통증의학과 #박찬도원장